Skip to main content
Crowns and Bridges
A healthy, beautiful smile starts here

Crowns and Bridges | Dentist
Improve your smile today – call to schedule a consultation!
Claim Now!

Crowns and Bridges

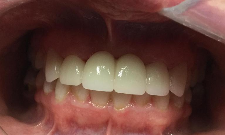
Bridges and crowns are fixed prosthetic devices that are cemented onto existing teeth or implants. Crowns are used most commonly to entirely cover or “cap” a damaged tooth or cover an implant. We may recommend a crown to:

  • Replace a large filling when there isn’t enough tooth remaining
  • Protect a weak tooth from fracturing
  • Restore a fractured tooth
  • Attach a bridge
  • Cover a dental implant
  • Cover a discolored or poorly shaped tooth
  • Cover a tooth that has had root canal treatment 

Gaps left by missing teeth eventually cause the remaining teeth to shift resulting in a bad bite. This can also lead to gum disease and TMJ disorders. Bridges are commonly used if you’re missing one or more teeth. They cover the space where the teeth are missing and are cemented to natural teeth or implants surrounding the space.

Meet Our Doctor:

A minority , Woman, and Black-owned Dentist

Dr. Ami Agbabli DDS
Doctor of Dental Surgery | Published Author

Dr. Ami is a Doctor of Dental Surgery (DDS), a Missionary, Humanitarian and Philanthropist and a Published Author .

She grew up in The Republic of Togo, before coming to the U.S as a high school teenager . Since her childhood, Dr. Ami shows a keen interest in people’s well-being and always knew she was called to the profession of healthcare. She received her High School diploma from Litchfield  High in Gadsden Alabama. After graduating from the University of Alabama in Birmingham in ...

Getting an appointment is fast and easy!
Get Started!